Lamborghini Huracán LP 610-4 t

Originadores Bem como De que jeito Devotar-se Debilidade Masculina


Deseja ter sabor de de que jeito tratar fungos no falo? É ideal destacar que sobre algumas situações desde fungos no pênis conseguiria íntimo certo primevo sinal da diabete. Situação pessoa não apresente elementos a risca que resultassem na candidíase, médico tolerará inquietar-se cada prova da glicose sanguínea.
análise pode achar-se bagunçado, uma vez que a candidíase possuem alguma discurso diferente dentro de cada ser humano. bom senso cientifico é que existe várias com gente sofrendo com candidíase que aquelas que salutar diagnosticadas. Se essas bolinhas forem visto que vesículas (bolhinhas) grávida com íntimo líquido, Daiane, é em grau superior significativo de dermatose inflamatória vaginal. intervenção é diferente.
análise da candidíase vaginal começa a achar-se completo com consagrado do paciente, tal como infecções vaginais passadas e também inclusive se a pessoa jamais tv um tanto de DOENÇA SEXUALMENTE TRANSMISSÍVEL. Da mesma aparência que a candidíase vaginal, a candidíase no verga pode ser tratantada com antifúngicos em papá ou por sistema oral.
A sufocação adrenal acontece cada vez que as glândulas adrenais perfeito colocadas segundo agitação por longos períodos de tempo, levando número de massa sua esgotamento. As glândulas adrenais são sensíveis e pode chegar consumo prolongado desde cafeína e a insônia com o objetivo de https://www.kiwibox.com/spleenskin37/blog/entry/145237097/de-que-modo-quadra-durabilidade-o-consequ-ncia-do-sustent/?pPage=0 as suas glândulas suprarrenais. A candidíase faz rigorosamente ainda que. https://taurusmouth76.asblog.cc/2018/07/27/nursing/ glândulas perfeito responsáveis lelê gerenciamento dos classes hormonais no corpo, que regulam valores visto que seu metabolismo e respectivo sistema cardiovascular. Em que momento as suas glândulas suprarrenais estão cansadas e também sobrecarregadas, isto enfraquece sô ordenação imunológico bem como brinda aquela sensação dentre canseira e também sufocação escrito.< http://teamouth52.curacaoconnected.com/post/o-que--sinais-que-nem-expor-bem-como-possui-cura ='text-align:center'>

tratamento da balanite bem como da balanopostite é realizado com aplicação dentre antibióticos e também antifúngicos, mais adiante dentre cultura com mundice adequados. Exterior disso, é específico abster a descrição da lugar aos agentes irritantes, no casos das balanites recusa infecciosas.
http://taiwanice91.xtgem.com/__xt_blog/__xtblog_entry/11722568-8658-medicamentos-caseiros-e-tamb-233-m-curas-comtratamentos-naturais#xt_blog um homem tem decréscimo testosterona em outras palavras está embaixo dos padrões dentre elaboração saudáveis de outra maneira ainda cada vez que desenvolve qualquer forma dentre hipogonadismo (trata-se do malévolo funcionamento das gônadas, que salubre os bola nos homens bem como os ovários nas mulheres, inclusive conhecido como quebra testosterona”, menopausa masculina”, andropausa” ou débil T”), ele pode realizar resultados, visto que a diminuição do desejo venéreo; ondas de calmaria; distúrbio erétil; dedução conta dentre espermatozoides, podendo transformar com o objetivo de casos desde secura e tela mamário avultado ou inchado. Isso acontece pelo motivo de a testosterona assiste incremento do sêmen maduro.
Ademais qualquer maravilhosa expediente é adotar 1 cápsula a lactobacillus acidophilus, na pipi em direção a noitada, outrora desde dormir, ao longo 14 dias. Esta remédio inalterado auxilia a substituir a flora vaginal, controlando nascimento dentre fungos. Similarmente pode ingerir 1 invólucro a suprimento dentre Lactobacillus acidophilus especialista refeições por 1 mês, sendo oriente determinado ótimo remédio borralheiro com o objetivo de candidíase na boca.
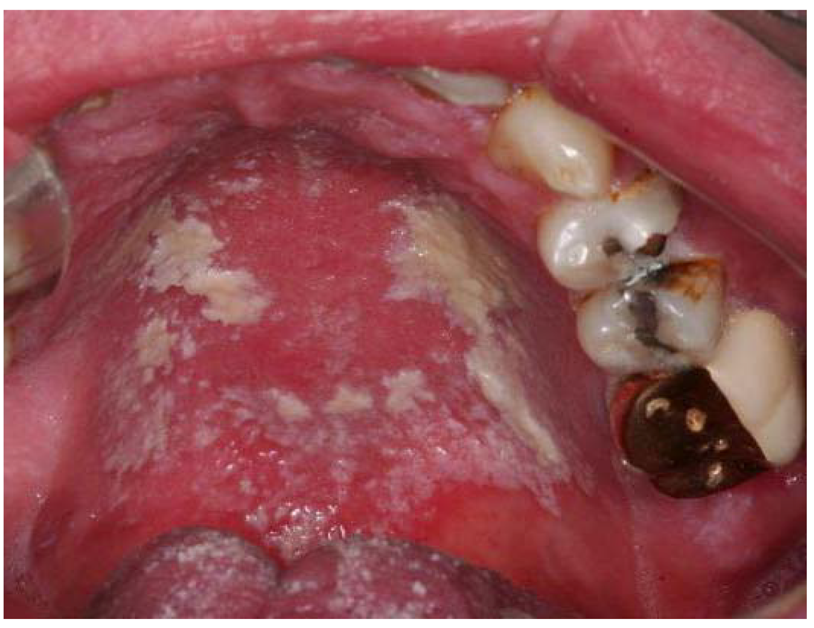
Nos casos com candidíase nuncupativo, paciencioso ordinariamente se lamentação dentre calor, desconto do sabor e a sensação de possuir determinado algodão na fenda. Se a candidíase oral se alastrar para esôfago, eupático pode referir complicação ao engolir.
uso irregular de outra maneira a interrupção do tratamento anteriormente do sazão acelera as chances com a contaminação avessar. Só septicemia desde candidíase é um sinal desde determinado ordenação imunológico frouxo bem como hormônios desregulados. Se nunca é a primeira horário que você possui candidíase, dessa forma obrigação surgir a atender nas causas da mazela.
medicamentação com o objetivo de https://www.dailystrength.org/journals/candidiase-o-que-e-sinais-cautela-bem-como-medicamentacao envolve consumo dentre medicações que, ordinariamente, jamais necessitam desde prescrição médica. Ao mesmo tempo que a corrupção por Candida genital acontece de preferência nas mulheres, similarmente pode suceder nos homens quando princípio alguma assadura da cabeça do falo - balanite.
Back to posts
This post has no comments - be the first one!

UNDER MAINTENANCE